Belperio Lab
Our Research
We continue to treat patients with idiopathic pulmonary fibrosis (IPF), sarcoidosis, chronic obstructive pulmonary disease (COPD), bronchiectasis and lung transplantation. Additionally, we have conducted research in these areas. Among the many highlights, we discovered a predictor of IPF outcomes that could lead to improved medical treatment; published extensively on sarcoidosis, and progressed new mouse models that will improve our understanding and treatment of sarcoidosis and COPD.
Our lab has also targeted a promising treatment to reduce lung transplant rejection; developed an inhalation-based delivery method for a JAK-STAT inhibitor, which aids lung transplant acceptance, aiming to eliminate unwanted side effects of systemic delivery; advanced faster and more accurate COVID-19 detectors that can lead to more precise immunotherapy and also translate to other disease detection; and, in the area of stem cell research, we were the first to treat airways using stem cells with exciting promise for repairing lung damage.
Meet Our Lab
Learn more about Belperio Lab's research.
A revolution in respiration
An advance in the fight against organ rejectiNews
- $20 million gift establishes UCLA Saul and Joyce Brandman Foundation Center for Lung Health
- "New treatment could result in more donor lungs."
- New Therapeutic Approach Could Prevent Injury to Fragile Transplanted Lungs".
- Dr. John Belperio awarded 2024 UCLA Younes Nazarian Medical Humanitarian Prize for lung transplant research
Article Spotlight
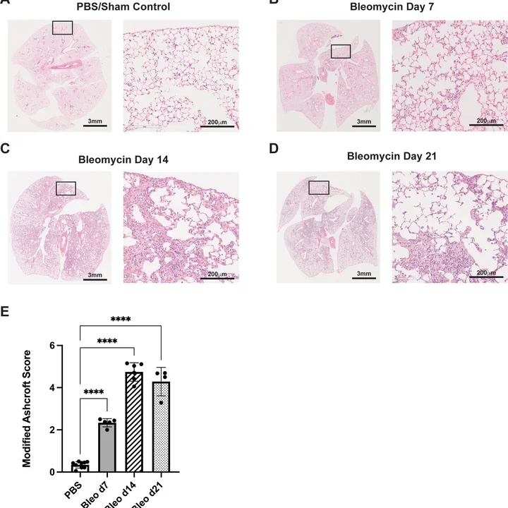
Oropharyngeal Administration of Bleomycin in the Murine Model of Pulmonary Fibrosis
Interstitial lung disease (ILD) represents a broad spectrum of disorders characterized by the progressive and often irreversible scarring of the lung parenchyma, the most common being idiopathic pulmonary fibrosis (IPF). Several animal models of IPF have been developed, with the bleomycin murine model being the most widely used. Bleomycin is a chemotherapeutic known to induce DNA damage in the alveolar epithelium, resulting in acute lung injury and pulmonary fibrosis in humans. Rodent models of IPF use bleomycin administration via various methods, the most common being intratracheal (IT). Recently, the oropharyngeal aspiration (OA) technique has been shown to be equally efficacious as IT for multiple fibrosing agents, with considerably fewer side effects and an easier route of delivery. This protocol details the OA method of bleomycin delivery into the murine lung and highlights examples of potential downstream applications for data quantification. This methodology offers a simple, quick, and safe way to utilize this widely used animal model for studying the molecular mechanisms underlying IPF.
Publication:
Watson, R. L., Lung, W. Y., Bensinger, S. J., & Belperio, J. A. (2025). Oropharyngeal Administration of Bleomycin in the Murine Model of Pulmonary Fibrosis. Journal of visualized experiments: JoVE, (219), 10.3791/67953. https://doi.org/10.3791/67953